A fratura dos ossos da perna pode ser um evento doloroso e debilitante, impactando significativamente a sua rotina e qualidade de vida. Seja resultado de um acidente, uma queda ou até mesmo de esforços repetitivos, compreender as causas e sintomas é fundamental para um tratamento eficaz e uma recuperação rápida. Neste artigo, vamos explorar as principais características dessa fratura, oferecendo insights valiosos sobre como identificar os sinais de uma fratura, os métodos de diagnóstico e as opções de tratamento mais eficientes. Se você ou alguém próximo está enfrentando essa situação, continue lendo e descubra como retomar sua mobilidade e qualidade de vida de forma segura e assertiva. A informação é a chave para que você possa agir de maneira adequada e proativa durante todo o processo de recuperação.
O que é a Fratura dos ossos da Perna?
Uma fratura dos ossos da perna ocorre quando há uma quebra em um ou mais ossos que compõem a perna (tíbia e/ou fíbula). A perna é formada por 2 ossos: a tíbia e a fíbula. Esses ossos são essenciais para a mobilidade e a sustentação do peso corporal, e uma fratura pode comprometer seriamente a capacidade de se locomover e realizar atividades diárias.
As fraturas podem variar em gravidade, desde pequenas fraturas (incompletas ou sem desvio) até fraturas complexas (cominutivas) que podem envolver múltiplos fragmentos ósseos. A natureza, a localização e o desvio da fratura e a idade e funcionalidade do paciente da geralmente determinam o tipo de tratamento necessário (conservador ou cirúrgico). É importante entender, entretanto, que uma fratura não se trata apenas de um osso quebrado; ela pode afetar os tecidos circundantes, incluindo músculos, vasos sanguíneos e nervos, aumentando a complexidade do tratamento e da recuperação.

A fratura dos ossos da perna pode ocorrer em qualquer faixa etária, mas é particularmente comum em idosos devido à osteoporose e em jovens devido a atividades esportivas intensas ou acidentes. Independentemente da causa, uma abordagem rápida e adequada é crucial para minimizar complicações e garantir uma recuperação eficaz.
Principais causas das fraturas da perna:
As fraturas dos ossos da perna podem ocorrer devido a uma variedade de causas, sendo os acidentes de trânsito uma das mais comuns. Colisões de veículos, atropelamentos e quedas de motocicletas frequentemente resultam em fraturas graves devido à força significativa envolvida no impacto. Essas situações podem causar fraturas complexas que muitas vezes necessitam de intervenção cirúrgica para realinhamento e estabilização dos ossos.
Outro motivo frequente de fraturas na perna são as quedas da própria altura, especialmente em idosos. A osteoporose, uma condição que enfraquece os ossos, torna os indivíduos mais suscetíveis a fraturas mesmo em quedas de baixa energia, como tropeços ou escorregões. Em crianças e adolescentes, as quedas durante brincadeiras ou atividades esportivas podem causar fraturas, embora os ossos mais jovens tendam a se recuperar mais rapidamente devido à sua maior capacidade de regeneração.
Atividades esportivas e esforços repetitivos também são causas significativas de fraturas. Esportes de alto impacto, como futebol, basquete e corrida, podem levar a fraturas por estresse, onde pequenas fissuras se desenvolvem nos ossos devido à sobrecarga mecânica local repetida. Além disso, condições médicas pré-existentes, como doenças ósseas e deficiências nutricionais, podem enfraquecer os ossos e aumentar a probabilidade de fraturas mesmo com traumas mínimos.
Sintomas comuns de fraturas na perna:
Os sintomas de uma fratura dos ossos da perna podem variar dependendo da gravidade e do local da lesão, mas alguns sinais são bastante comuns e indicativos. A dor intensa e imediata é geralmente o primeiro sintoma, ocorrendo no momento da lesão. Esta dor pode ser exacerbada por qualquer tentativa de mover ou colocar peso sobre a perna afetada. Em alguns casos, a dor pode ser acompanhada por um som audível de estalo ou rachadura no momento da fratura.
Além da dor, a incapacidade de suportar peso na perna afetada é um sintoma claro de fratura. A perna pode parecer instável ou incapaz de sustentar o corpo, e em casos mais graves, pode haver uma deformidade visível, onde a perna apresenta-se desalinhada. O edema (inchaço), hematomas e sensibilidade ao toque na área da fratura são comuns e podem ocorrer minutos após a lesão.
Outro sinal importante é a perda de função. Dependendo da localização e do tipo de fratura, pode haver uma limitação significativa na capacidade de mover a perna ou o pé. Em casos de fraturas expostas, onde os fragmentos ósseos rompem a pele, há um risco elevado de infecção, e a necessidade de cuidados médicos imediatos é crítica. Reconhecer esses sintomas e buscar atendimento médico rapidamente é essencial para iniciar o tratamento adequado e prevenir complicações.
Tipos de fraturas da perna:
As fraturas da perna podem ser classificadas em vários tipos, dependendo da localização, forma e gravidade da fratura. Resumidamentes temos:
Localização:
– Fraturas Epifisárias
– Fraturas Metáfisárias
– Fraturas Diafisárias
Tipo de fratura:
– Transversa
– Obliqua
– Cominuta
Exposição:
– Fechadas
– Expostas (abertas)
As fraturas transversas, por exemplo, são aquelas em que o osso se fratura em uma linha reta através do eixo, frequentemente resultante de um trauma direto. Essas fraturas podem ser relativamente simples de tratar se não houver muitos fragmentos ósseos envolvidos.
Outro tipo comum é a fratura oblíqua, que ocorre em um ângulo ao longo do osso. Essas fraturas podem ser instáveis e frequentemente requerem cirurgia para alinhar e fixar os ossos. As fraturas espirais são causadas por torções, resultando em uma quebra em espiral ao longo do comprimento do osso. Essas fraturas também são geralmente instáveis e podem necessitar de tratamento cirúrgico.
As fraturas cominutivas são aquelas em que o osso se fratura em vários fragmentos, geralmente devido a traumas de alta energia, como acidentes de carro. Essas fraturas são complexas e frequentemente requerem cirurgia e um longo período de recuperação.
As fraturas fechadas são aquelas em que não há uma solução de continuidade do foco de fratura com o meio externo, enquanto as fraturas expostas (ou abertas) envolvem uma solução de continuidade com o meio externo, aumentando significativamente o risco de infecção.
A classificação e o tipo de fratura determinam o tratamento mais adequado e influenciam diretamente o tempo de recuperação.
Diagnóstico de fraturas da perna:
O diagnóstico preciso de uma fratura na perna é crucial para determinar o tratamento adequado. O processo geralmente começa com uma avaliação clínica, onde o médico realiza um exame físico detalhado, verificando sinais de dor, edema, deformidade e sensibilidade na perna afetada.
A história do paciente, incluindo como ocorreu a lesão e os sintomas experimentados, também é uma parte importante do diagnóstico inicial.
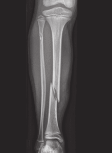
Após a avaliação clínica, exames de imagem são normalmente utilizados para confirmar a presença e a extensão da fratura. Raios-X são o método mais comum e eficaz para visualizar os ossos e identificar fraturas. Eles fornecem uma imagem clara da localização, tipo e gravidade da fratura, permitindo ao médico planejar o tratamento apropriado. Em casos mais complexos, como fraturas cominutivas ou suspeitas de lesões nos tecidos moles, pode ser necessário o uso de tomografia computadorizada (TC) ou ressonância magnética (RM).
A tomografia computadorizada oferece imagens detalhadas dos ossos e pode ajudar a identificar fraturas que não são facilmente visíveis em raios-X padrão e auxiliar na programação cirúrgica. A ressonância magnética é particularmente útil para avaliar lesões nos tecidos moles, como ligamentos e músculos, que podem acompanhar fraturas ósseas. Esses exames de imagem avançados fornecem uma visão abrangente da lesão, permitindo um diagnóstico preciso e a elaboração de um plano de tratamento eficaz.
Atendimento inicial nas Fraturas dos ossos da Perna:
O tratamento inicial de uma fratura da perna visa aliviar a dor, estabilizar a lesão e prevenir complicações adicionais. No local da lesão, a imobilização da perna é crucial para evitar movimentos que possam agravar a fratura e melhorar o desconforto do paciente. Isso pode ser feito com o uso de talas ou imobilizadores temporários até que um atendimento médico avançado esteja disponível.
O manejo da dor é uma parte essencial do tratamento inicial. Analgésicos e/ou antiinflamatórios podem ser administrados para reduzir a dor e a inflamação. Em casos de dor severa, medicamentos analgésicos mais potentes, como opioides, podem ser necessários.
A elevação da perna lesionada acima do nível do coração é outra medida importante para reduzir o edema. Se houver suspeita de fratura exposta, onde os ossos rompem a pele, é fundamental cobrir a ferida com um curativo limpo para prevenir infecção e buscar atendimento médico imediatamente.
Tratamento Cirúrgico vs. Conservador:
O tratamento de fraturas da perna pode ser abordado de duas maneiras principais: conservador (não operatório) ou cirúrgico. A escolha entre esses métodos depende de vários fatores, incluindo o tipo e a localização da fratura, a idade e a saúde geral do paciente, e a complexidade da lesão. O tratamento conservador geralmente é preferido para fraturas simples e estáveis, onde os ossos não se deslocaram significativamente.
No tratamento conservador, o uso de gesso ou órteses é comum para imobilizar a perna e permitir a cicatrização dos ossos. Esse método é eficaz para fraturas que não exigem realinhamento cirúrgico. O gesso ou a órtese mantém os ossos na posição correta enquanto eles consolidam, um processo que pode levar várias semanas a meses (normalmente 8-12 semanas), de
pendendo da gravidade da fratura. Durante esse período, o paciente deve evitar colocar peso na perna afetada e pode precisar de muletas ou andador para se locomover.
Nas fraturas mais graves ou complexas, o tratamento cirúrgico pode ser necessário. A cirurgia podeenvolver a fixação interna, onde placas, parafusos ou hastes intramedulares são usados para manter os ossos no lugar. Em casos de fraturas expostas ou cominutivas, uma limpeza cirúrgica e o uso de fixadores externos pode ser necessário para estabilizar a lesão enquanto os tecidos melhoram sua condição. A escolha do método cirúrgico depende da natureza da fratura e da experiência do cirurgião, mas ambos os métodos visam realinhar os ossos e promover uma recuperação eficiente.
Processo de recuperação e reabilitação:
A recuperação de uma fratura dos ossos da perna é um processo gradual que envolve várias etapas, desde o tratamento inicial até a reabilitação completa. Após a estabilização da fratura, o foco se volta para a consolidação óssea, que pode levar de semanas a meses, dependendo da gravidade e do tipo de fratura. Durante esse período, é essencial seguir as orientações médicas para garantir uma recuperação bem-sucedida.
A reabilitação desempenha um papel crucial na recuperação completa. Fisioterapia é frequentemente recomendada para ajudar a restaurar a força, a flexibilidade e a mobilidade da perna afetada. O fisioterapeuta trabalhará com o paciente para desenvolver um plano de exercícios personalizado que gradualmente aumenta a carga e a amplitude de movimento. Esses exercícios ajudam a fortalecer os músculos ao redor da fratura, melhorando o suporte e a estabilidade da perna.
O acompanhamento médico regular é necessário para monitorar o progresso da recuperação e ajustar o tratamento conforme necessário. Em casos de complicações, como infecção ou não consolidação da fratura, pode ser necessária uma intervenção cirúrgica adicional. Com o tratamento adequado e a reabilitação diligente, a maioria das fraturas da perna pode se curar completamente, permitindo que os pacientes retomem suas atividades normais.
Considerações finais:
Reconhecer os sinais e sintomas de uma fratura na perna e buscar atendimento médico de emergência é crucial para garantir um tratamento adequado e prevenir complicações. Se você sofrer uma lesão na perna que resulte em dor intensa, incapacidade de suportar peso, deformidade visível, inchaço ou hematomas, é essencial procurar um médico ou ir ao pronto-socorro imediatamente. A intervenção precoce pode fazer uma diferença significativa na recuperação e nos resultados a longo prazo.
Além disso, se você já está em tratamento para uma fratura na perna e experimentar sinais de complicações, como aumento da dor, febre, vermelhidão ou drenagem da ferida, é importante contactar seu médico imediatamente. Esses sintomas podem indicar infecção ou outros problemas que necessitam de atenção médica urgente. O acompanhamento regular com seu médico durante o processo de recuperação é fundamental para monitorar o progresso e ajustar o tratamento conforme necessário.
Caso apresente uma fratura dos ossos da perna ou qualquer outra dúvida à respeito, entre em contato com um Ortopedista Especialista em Pé e Tornozelo.



